
單克隆抗體/多克隆抗體定制
抗體(Antibody)是機體由于抗原的刺激而產生的具有保護作用的免疫球蛋白質,其結構呈Y型。它由漿細胞(效應B細胞)分泌,能夠特異性地識別并結合外來物質(如細菌、病毒或毒素),幫助身體清除這些有害物質。
1 單克隆抗體
單克隆抗體(Monoclonal Antibody, mAb)是由單一B細胞克隆產生的高度均一、僅針對某一特定抗原表位的抗體。與多克隆抗體相比,單抗具有更好高的親和力和特異性,在生物醫學研究、疾病診斷和某些疾病治療(如傳染病和癌癥)中起到重要作用。
單克隆抗體制備技術有有三種,分別為雜交瘤技術(Hybridoma Technology)、噬菌體展示技術(Phage Display Technology)和單B細胞技術(Single B Cell Technology)。目前本平臺單克隆抗體制備技術主要為雜交瘤技術。
雜交瘤技術是將抗原免疫小鼠的B細胞與骨髓瘤細胞進行融合形成雜交瘤細胞,經選擇性培養和克隆化篩選,獲得能夠穩定分泌單一特異性抗體的雜交瘤細胞株,最終通過規模化培養和純化制備目標單克隆抗體。適用于常規單克隆抗體制備(如科研試劑、診斷抗體)和需保留天然抗體結構的應用(如功能性研究)。
其優點是:
(1)穩定性高,雜交瘤細胞可長期傳代,實現抗體持續生產;
(2)技術成熟,已廣泛應用于科研,診斷以及抗體藥物發現;
(3)多功能性,可工程化改造,優化抗體性能或賦能新功能。
噬菌體展示技術是將抗體可變區基因片段插入噬菌體基因組,使其以scFv(單鏈抗體)或Fab片段的形式展示在噬菌體表面。通過固相化抗原進行多輪“吸附-洗脫-擴增”淘選過程,富集高親和力特異性抗體,最終獲得目標單克隆抗體。適用于生物制藥(如疫苗設計、藥物開發)和高親和力抗體篩選。
其優點是:
(1)多樣性,天然噬菌體庫容量可達1011,覆蓋更廣的抗原表位;
(2)周期短,無免疫和細胞融合等步驟,實驗周期縮短。
單B細胞抗體技術利用單個B細胞僅表達單一功能性重鏈和輕鏈基因的特性,通過流式分選或微流控技術分離抗原特異性B細胞,并采用單細胞PCR擴增其抗體可變區基因,經重組表達后獲得具有天然配對結構的單克隆抗體。適用于疾病中和抗體開發。
其優點是:
(1)天然配對,保留原始輕重鏈組合,抗體親和力與特異性更優;
(2)高通量,結合流式篩選技術,能夠快速,準確獲得大量陽性B細胞;
平臺提供的產品由具有15年抗體開發經驗的工匠完成,技術路線成熟,產品質量穩定可靠、靈敏度極高,產品深受下游客戶好評。
服務優勢:
(1)準——基于抗原分析系統與蛋白結構預測技術,精準設計最佳抗原方案,確保特異性;
(2)快——自主研發創新試劑(如快速佐劑、專用培養基)將開發周期從6個月縮短至3個月,且提升雜交瘤細胞穩定性;
(3)穩——實現抗原平臺與抗體驗證平臺無縫銜接,提高項目成功率并加速交付;
(4)省心——推出“零預付,包成功”合作模式,承諾100%項目成功率,最大程度降低客戶風險。
服務流程:
方案溝通-合同簽訂-免疫原制備-動物免疫-細胞融合--細胞篩選-亞克隆篩選--抗體純化-抗體驗證-成果交付。
2 多克隆抗體
多克隆抗體(Polyclonal Antibodies, pAbs)是由多個B細胞克隆產生的抗體混合物,能夠識別同一抗原的多個不同表位(抗原上的不同區域)。這類抗體的核心優勢在于能夠同時識別抗原的多個表位,在免疫檢測中表現出優異的性能,比如凝集反應和免疫沉淀反應。
多克隆抗體是由免疫動物血清中提取的抗體混合物,其制備方法是通過抗原免疫實驗動物后直接分離純化血清獲得。
服務優勢:
(1)可靠——工匠具有15年抗體開發經驗,技術積累深厚,抗體研發成功率高;
(2)靈活——支持多物種(小鼠、兔、大鼠等)協同免疫,適配多色染色等復雜場景;
(3)快速——全技術閉環平臺,極大的縮短了項目周期,最快30天可獲得高效價抗體。
服務流程:
方案溝通-合同簽訂-免疫原制備-動物免疫-效價檢測--抗體純化-抗體驗證-成果交付。
案例展示
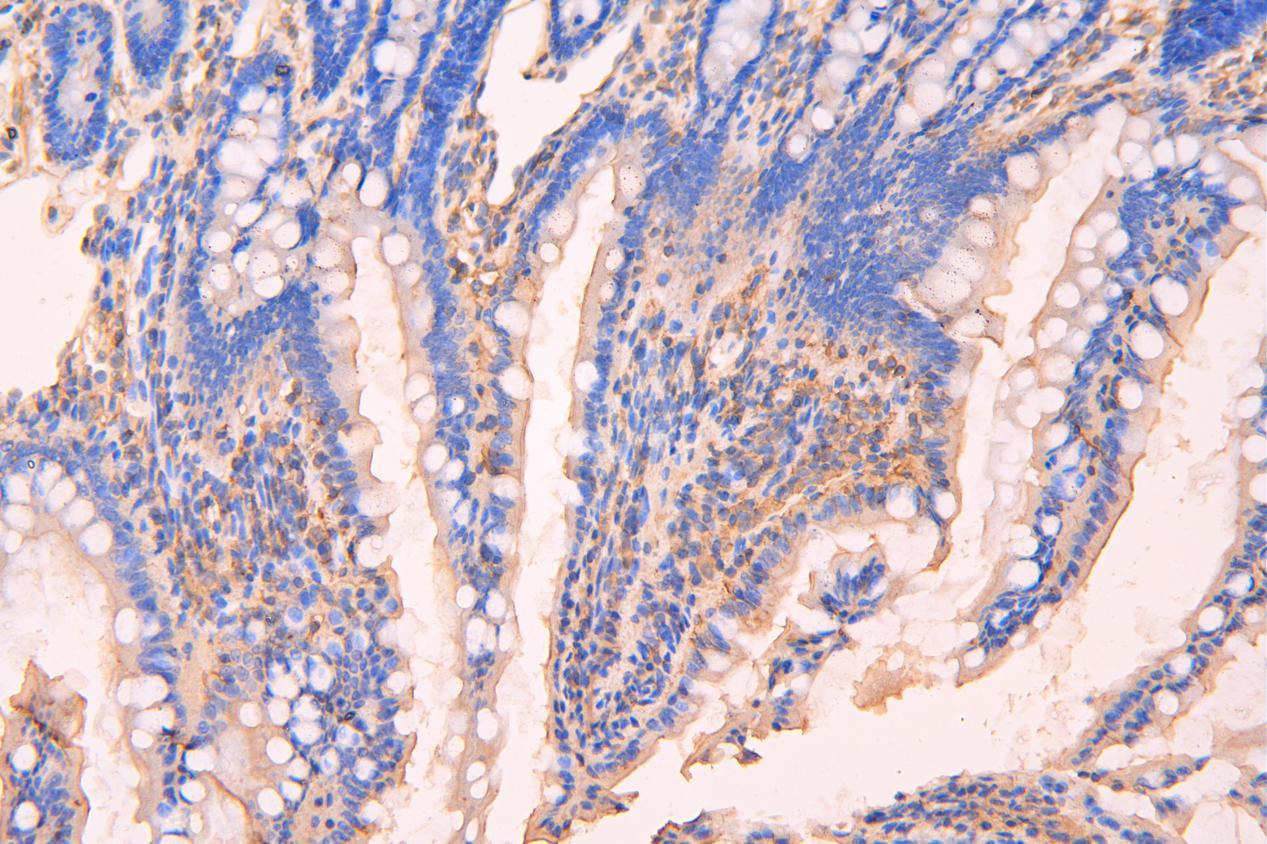
七次跨膜的線粒體內膜蛋白單克隆抗體定制

ND4 2D9大鼠腸組織200倍

ND4 2D9小鼠腸組織200倍

Western blot結果
單克隆抗體定制
1. 服務項目
| 服務名稱 | 服務內容 | 抗原來源 | 服務周期 |
| 普通單克隆抗體制備 | 小鼠單克隆抗體制備 | 客戶/工匠提供 | 4-6月 |
| 大鼠單克隆抗體制備 | 5-6月 | ||
| 快速單克隆抗制備 | 小鼠快速單克隆抗體制備 | 客戶/工匠提供 | 1.5-2月 |
| 大鼠快速單克隆抗體制備 | 2-3月 | ||
| 保證型單克隆抗體制備 | 免疫沉淀(IP)保證型單克隆抗體制備 | 咨詢 | 5-6月 |
| 免疫印記(WB)保證型單克隆抗體制備 | |||
| 免疫熒光(IF)保證型單克隆抗體制備 |
2. 交付內容
1. 3-5株雜交瘤細胞
2. >5mg純化抗體
3. 100μL 腹水原液
4. 100μL免疫陽性血清
5. 項目報告,包括抗原生產、雜交瘤構建、篩選、克隆化及其相關檢測的整套數據。
6. 保證型單克隆抗體定制服務提供相應的內源性檢測數據。(不成功不收費)
多克隆抗體定制
1. 服務項目
| 物種 | 服務類型 | 抗原來源 | 周期 |
| 兔 | 多克隆抗血清制備 | 客戶/工匠提供 | 13-16周 |
| Protein A 純化多克隆抗體制備 | 14-17周 | ||
| 抗原親和純化多克隆抗體制備 | |||
| 小鼠 | 多克隆抗血清制備 | 客戶/工匠提供 | 13-16周 |
| Protein A 純化多克隆抗體制備 | 14-17周 | ||
| 大鼠 | 多克隆抗血清制備 | 客戶/工匠提供 | 13-16周 |
| Protein G純化多克隆抗體制備 | 14-17周 | ||
| 豚鼠 | 多克隆抗血清制備 | 客戶/工匠提供 | 13-16周 |
| Protein A純化多克隆抗體制備 | 14-17周 | ||
| 山羊 | 多克隆抗血清制備 | 客戶/工匠提供 | 咨詢 |
| Protein G純化多克隆抗體制備 | |||
| 雞 | 抗原親和純化多克隆抗體制備 | 客戶/工匠提供 | 咨詢 |
| 抗IgY純化抗體多克隆抗體制備 | |||
| 保證型抗體制備 | 可提供多物種,不同應用的保證型多克隆抗體定制 | 客戶/工匠提供 | 咨詢 |
2. 交付內容
1、 200 μL免疫前陰性血清(小鼠提供50μL)。
2、1 mg以上制備的重組蛋白或多肽抗原。
3、3-20 mg抗原親和純化多克隆抗體(濃度>1 mg/mL)。
4、保證型多克隆抗體定制服務提供相應的內源性檢測數據(不成功不收費)。